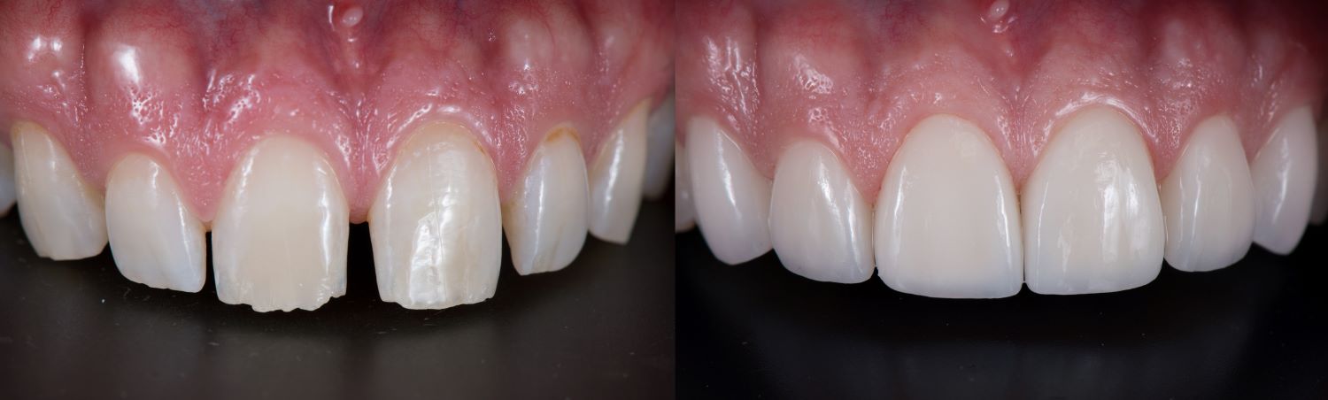
Dental veneers are custom-designed shells of tooth-like ceramic material that, when applied over the surface of a tooth, can cover worn tooth enamel, uneven tooth alignment or spacing, and chips or cracks. Dental veneers fall into the category of cosmetic dentistry because they create a bright, white smile with beautifully aligned, shapely teeth. Even better, the translucent ceramic quality of today's veneers provides a more natural look than what's been available in the past.
Schedule an appointment for fast gentle dentistry